venerdì 26 gennaio 2018

Carcinoma della pelle a cellule squamose

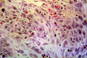
Carcinoma della pelle a cellule squamose. Noto anche come carcinoma squamo-cellulare, è la seconda forma più comune di cancro alla pelle e ogni anno secondo le stime. Le cellule squamose sono piccole cellule cutanee piatte nello strato esterno della pelle.


Il carcinoma cutaneo a cellule squamose o spinalioma. Quando queste cellule diventano cancerose, in genere si sviluppano in tumori della pelle arrotondati o piatti.

A volte la pelle intorno ai tumori diventa rossa e gonfia. Perché insorge e quali sintomi provoca? I tumori che possono colpire la pelle sono molto numerosi dato che è l’organo più esteso del nostro corpo, è formato da tre strati: epidermide, derma e tessuto sottocutaneo, il carcinoma è uno di questi. I tumori della pelle diversi dal melanoma sono classificati in base alle cellule da cui hanno origine.


Le esperienze dei pazienti affetti da carcinoma a cellule squamose della pelle , con indicazioni sui migliori ospedali, i trattamenti, i farmaci ed i migliori medici per la cura di questa patologia. Insieme con carcinoma a cellule basali, i tumori della pelle più comune, questi due tipi di cancro sono indicate collettivamente come non-melanoma - cancro della pelle. Controlla lelenco completo delle possibili cause e condizioni ora!


Parla con il nostro Chatbot per restringere la ricerca.

In Europa è due volte più frequente del melanoma e in alcuni Paesi la sua incidenza è in crescita. I sintomi del cancro a cellule squamose della pelle Più di 250. Come con carcinoma a cellule basali, si sviluppa molto lentamente, e può spostarsi in altre zone del corpo solo se non trattata per un tempo molto lungo. Scoperta nuova molecola per la cura del carcinoma squamoso della pelle. Pubblicati sul New England Journal of Medicine i dati di studi dedicati al secondo tumore cutaneo, finora senza soluzioni.


Facilmente gestibile nelle forme precoci, diventa particolarmente difficile da trattare nelle forme avanzate, tanto da rappresentare una vera e propria sfida in termini terapeutici. Informazioni sul carcinoma a cellule squamose della pelle , con dettagli su cause, sintomi, diagnosi, terapia e risultati. MILANO – Offrire un identikit per scoprire e contrastare un particolare tipo di tumore alla pelle , il carcinoma cutaneo a cellule squamose , curabile nel dei casi, ma molto pericoloso in fase.


Le cause esatte del carcinoma a cellule squamose della pelle non possono essere chiamate medicine. CSCC), un tumore della pelle particolarmente aggressivo in fase avanzata o metastatica, con un notevole impatto sulla qualità di vita dei pazienti, una. Come melanomas, essi hanno il potenziale per diffondersi. Tumori della pelle , come melanoma, carcinoma a cellule squamose e carcinoma a cellule basali possono verificarsi nei bambini, ma sono rari. Esami fisici e biopsie, tra gli altri test, possono diagnosticare questo tipo di tumori della pelle nei bambini.


Cerca informazioni mediche. Può essere usato per diagnosticare anche il carcinoma a cellule squamose e il melanoma-in-situ. Una shave biopsy può essere.

Le cellule basali costituiscono lo strato più profondo dell’epidermide, lo strato basale. Circa l’ dei tumori della pelle si sviluppa da questo tipo di cellule. Tra i vari tipi di cancro della pelle , il carcinoma a cellule squamose è né la più comune, né meno curabile , ma i suoi sintomi e la prevenzione sono ancora oggi vitali per promuovere la buona salute della pelle.


Venti per cento delle diagnosi di cancro della pelle negli Stati Uniti sono a cellule squamose. Questo tipo di cancro della pelle di solito è causato da danni del sole. SCC), noto anche come carcinoma a cellule squamose , è un tipo di cancro della pelle che inizia nelle cellule squamose. Dopo il temutissimo melanoma, è il secondo tumore della pelle per mortalità.


Lezione del corso elearning di Oncologia Veterinaria. La combinazione di tabacco e alcol ha un forte effetto sinergico.

Nessun commento:

Posta un commento

Nota. Solo i membri di questo blog possono postare un commento.

Post più popolari